BLOGスタッフブログ
セレック治療とは?🦷✨
2025/09/25 スタッフブログ

こんにちは!よしぞえ歯科クリニックです😊
長い夏も終わり、ようやく秋が訪れてきましたね🍁
クリニック内もハロウィン仕様となっております🎃

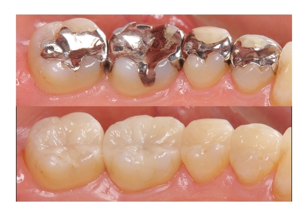
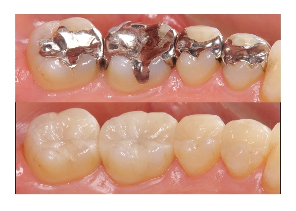
さて、当院ではホームページにもあるように、セレックという機械を導入しており、院内でセラミックの設計・作製を行うことができます。アルジネートという粘土のような材料での型取りは不要で、カメラで口腔内を撮影しコンピュータで設計を行います。最短で中2日間あけて被せ物を入れることができます。

天然歯に近い審美性を再現できることや、二次う蝕(虫歯の再発)が起こりにくいこと、金属アレルギーの心配がないこと、金属が溶け出すことはないので歯や歯茎の黒ずみが気にならないことなど、メリットがたくさんあります。
しかしながら、デメリットもあります。
セラミックの材質は陶材でできているので、瞬間的な強い力がかかった時に陶器のように割れてしまうことがあります。
奥歯には強度の高いジルコニアを選ぶことができます。
あとは、残念ながら保険がきかない自由診療になります。当院では保証を付けさせていただいておりますので、セラミック治療ご希望の方はいつでもお気軽にご相談ください。
噛み合わせが強い方や歯ぎしり・くいしばりがある場合にはマウスピースの使用をおすすめすることがございます。これは、被せ物だけではなく、ご自身の歯を守ることにも繋がります。
セラミックの被せ物や健康な歯を長持ちさせるためには、定期的なメインテナンスやご自身での毎日のセルフケアが重要になります。
一緒にお口の健康を守っていきましょう✨